Radovi

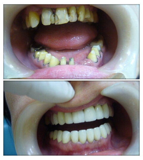
Slike radova stomatološke ordinacije Dental art studio pre i posle:




Za sve informacije o našim uslugama kliknite OVDE.